インプラント治療|西川口の歯医者・歯科「ミアリスデンタルオフィス西川口」

インプラント治療

自然な見た目と噛み心地を叶えるインプラント治療

虫歯や歯周病、ケガなどが原因でご自分の歯を失ってしまった時に、歯の機能を取り戻すために行うのが補綴(ほてつ)治療です。補綴治療には、主にインプラント治療、入れ歯治療、ブリッジ治療がありますが、中でも天然歯のような自然な見た目と噛み心地を叶えられるのがインプラント治療です。

西川口の歯医者「ミアリスデンタルオフィス西川口」では、インプラント担当医と連携を図り、精度の高いインプラント治療を実現しています。安全を第一に考え、インプラント手術を行っていますので、どうぞ安心して当院にお任せください。

インプラントによる咬合回復について

インプラントによる咬合回復について

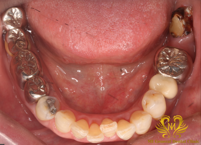
インプラントは、条件が整えば失った自分の歯のように噛むことができる素晴らしい方法です。ただし、インプラント治療は噛み合わせが悪いと、他の部位に負担がかかったり、インプラント体が不具合を起こしたり、インプラント上部の被せ物が破損したりしてしまい、再治療のリスクがあります。そのため、噛み合わせまで考慮したインプラント治療を行うことが重要です。

当院では、患者さんの年齢・全身状態・お口の中の清掃状態・虫歯や歯周病の有無・噛み合わせを考慮した上で、インプラント治療を行っています。

安心なインプラント治療のために

正確な検査・診断や治療計画の立案が、高精度のインプラント治療につながるため、当院では、インプラント治療前に行う検査・診断を入念に行い、万全の準備のもと治療を行っています。

CT

CT

3次元の立体画像が得られる歯科用CTにより、歯や顎の骨の詳細な立体構造や、血管や神経の走行状態、インプラントを埋め込む顎の骨の骨密度を正確に把握できるため、より適切な診断が可能になります。

また、治療前後のCT画像を比べることで、顎の骨の状態変化を確認することが可能です。

診断用ワックスアップ

実際にインプラントを入れた口腔内の状態をシュミレーションするためのものであり、インプラントを埋入する歯の位置・形・長さ・幅・傾き、噛み合わせの状態を、ワックスと呼ばれる蝋(ろう)で再現します。

診断用ワックスアップにより患者さんごとに異なる問題点や、インプラントの上に付ける被せ物(上部構造)の形状を目で確認でき、精密な診断と治療計画の立案に役立ちます。

ガイデッドサージェリー

CT画像と診断用模型をもとに、コンピュータ上でインプラント手術の3Dシミュレーションを行い、埋入のガイドを作製できます。これにより最適なインプラントの大きさや埋入位置・角度などの安全・確実な手術方法をプランニングすることができ、万全の体制でインプラント治療に臨むことができます。

最終的な被せ物の位置も予測できるため、噛み合わせに合わせてインプラントの埋入位置を決めることが可能です。

インプラントは補綴治療の手段のひとつです

インプラントは補綴治療の手段のひとつです

インプラントは補綴治療の選択肢のひとつです。インプラントは顎の骨にしっかり固定されるため入れ歯よりも強い力でしっかり噛むことができます。奥歯を失うと前歯に負担がかかりやすいため、奥歯を失った場合にはインプラントによる咬合回復が第一選択と言えるでしょう。

ただしすべてのケースにおいてインプラントが最善とは限りません。患者さんの生活を考えて、入れ歯やブリッジといった昔から用いられている治療のほうがよいケースもあるため、まずはきちんと診査診断した上でご提案させていただきます。

インプラント担当医との連携で治療を行います

インプラント担当医との連携で治療を行います

インプラントは高度な外科的技術が求められる、非常に難易度の高い治療です。

当院では、安全かつ精度の高いインプラント治療を患者さんに提供するために、インプラントについて専門的に学び、知識と経験を持ったインプラント担当医と連携しています。しっかりと検査・診断を行い、患者様の口腔内に合わせたインプラント治療をご提供します。

治療の流れ

①相談

担当医より、治療の流れのご説明やおおまかな治療のご希望をお聞きします。

  • 相談料(オンライン) 3,000円(税別)
  • 相談料(対面) 8,000円(税別)
②検査

治療をする上で必要なレントゲン撮影や歯型を採ったり、お口の中の写真撮影

  • 検査費用 10,000円(税別)
③診断

治療方法や費用などを患者さんご本人(保護者)にご説明いたします。

  • 診断料(オンライン) 50,000円(税別)
  • 診断料(対面) 55,000円(税別)
④施術※自費再診料(通院ごと)5,000円(税別)
一次オペ(インプラント埋入)
  • 埋入料(臼歯) 200,000円/本(税別)
  • 埋入料(前歯) 250,000円/本(税別)
  • ガイドオペ 50,000円/本(税別)
  • 骨補填 50,000円(税別)
  • ソケットリフト 50,000円(税別)
  • サイナスリフト 100,000円(税別)
二次オペ(ヒーリングアバットメント装着+仮歯用印象採得)
  • ヒーリングアバットメント装着料 30,000円/本(税別)
仮歯装着:インプラント体が安定するまで仮に入れておく歯を装着します。
  • 仮歯装着料 30,000円/本(税別)
    ※本数・形態によって金額は変わります。
印象採得:最終的な補綴装置(上部構造)のための型採りをします。
  • 補綴作成料 75,000円/本(税別)
補綴装置(上部構造)装着:最終的な補綴装置(上部構造)の装着をします。
  • 補綴装置装着料 75,000円/本(税別)
⑤経過観察:補綴装置の装着後、状態の確認と長期的なケアを行います。

料金表

※治療内容によっては料金が変動する場合がありますので、詳細についてはお気軽に当院までお問い合わせください。

CT撮影 骨の状態を確認するためにCT撮影をします。 ¥10,000
診断料 お口の中の情報をもとに処置内容をご説明します。 ¥50,000
手術料(臼歯) 奥歯の一本あたりの手術料(4~7番) ¥200,000
手術料(前歯) 前歯の一本あたりの手術料(1~3番) ¥250,000
TEC 最終的な被せものが入るまでの1次的な仮歯 ¥30,000/歯
補綴料 1本あたりのかぶせ物の料金 ¥150,000
骨補填 骨の厚みが足りないところに材料を補填します。 ¥50,000
ソケットリフト 上顎骨の厚みが少ない時に骨の一部を持ち上げる手術です。 ¥50,000
サイナスリフト 上顎骨の厚みが少ない時に鼻の奥の粘膜を持ち上げる手術です。 ¥100,000

※全て税抜き価格です。